Pes Cavus Deformity Radiology

Podiatric Imaging

Podiatric Imaging

Cavus Foot From Neonates To Adolescents Sciencedirect

Cavus Foot From Neonates To Adolescents Sciencedirect

Neuropathic Joint Charcot Marie Tooth Disease Radiology At St Vincent S University Hospital

Neuropathic Joint Charcot Marie Tooth Disease Radiology At St Vincent S University Hospital

The Foot And Ankle Congenital And Developmental Conditions Radiology Key

The Foot And Ankle Congenital And Developmental Conditions Radiology Key

Pes Cavus Radiology Reference Article Radiopaedia Org

Pes Cavus Radiology Reference Article Radiopaedia Org

Https Www Kent Edu Sites Default Files Hv Ch 04 Review Of Adult Foot Radiology Pdf

Https Www Kent Edu Sites Default Files Hv Ch 04 Review Of Adult Foot Radiology Pdf

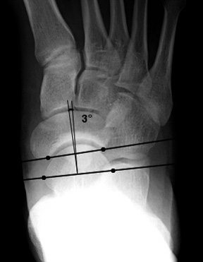
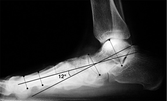
Pes Cavus Foot Alignment

Pes Cavus Foot Alignment

Flatfoot In Children And Adolescents Analysis Of Imaging Findings And Therapeutic Implications Sciencedirect

Flatfoot In Children And Adolescents Analysis Of Imaging Findings And Therapeutic Implications Sciencedirect

Acquired Mid Foot Deformity Fifa Medical Platform

Acquired Mid Foot Deformity Fifa Medical Platform

The Cavus Foot Chapter 9 Core Topics In Foot And Ankle Surgery

The Cavus Foot Chapter 9 Core Topics In Foot And Ankle Surgery

Pdf The Adult Cavus Foot

Pdf The Adult Cavus Foot

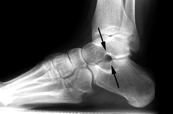
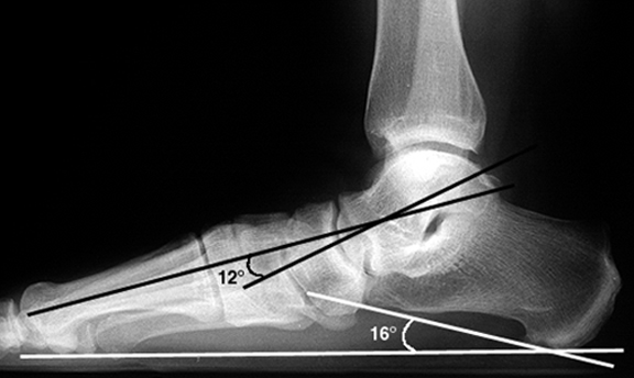
Calcaneal Inclination Angle Radiology Reference Article Radiopaedia Org

Calcaneal Inclination Angle Radiology Reference Article Radiopaedia Org

Zbc3houoezhnmm

Zbc3houoezhnmm

Pes Cavus Foot Alignment

Pes Cavus Foot Alignment

Epos P 0067

Epos P 0067

Chinese Foot Binding Radiographic Findings And Case Report Sciencedirect

Chinese Foot Binding Radiographic Findings And Case Report Sciencedirect

Epos Trade

Epos Trade

Pes Cavus Foot Alignment

Pes Cavus Foot Alignment

Foot Ii Radiology Key

Foot Ii Radiology Key

Https Encrypted Tbn0 Gstatic Com Images Q Tbn 3aand9gcqsqle 3qz6etyayus0v3jkn1f9n1yieqzm0tid8bcnwmzcuel4 Usqp Cau

Https Encrypted Tbn0 Gstatic Com Images Q Tbn 3aand9gcqsqle 3qz6etyayus0v3jkn1f9n1yieqzm0tid8bcnwmzcuel4 Usqp Cau

Foot Arch Deformities 2

Foot Arch Deformities 2

Flat Foot And Cavus Foot

Flat Foot And Cavus Foot

Annals Of Rehabilitation Medicine

Annals Of Rehabilitation Medicine

Foot Ii Radiology Key

Foot Ii Radiology Key

Pes Cavus Physiopedia

Pes Cavus Physiopedia

Cavus Foot From Neonates To Adolescents Sciencedirect

Cavus Foot From Neonates To Adolescents Sciencedirect

Reconstruction Of Cavus Foot A Review

Reconstruction Of Cavus Foot A Review

Pes Planus Foot Alignment

Pes Planus Foot Alignment

Foot Deformities In Children And Teenagers Clinica Kam

Foot Deformities In Children And Teenagers Clinica Kam

Https Www Kent Edu Sites Default Files Hv Ch 04 Review Of Adult Foot Radiology Pdf

Https Www Kent Edu Sites Default Files Hv Ch 04 Review Of Adult Foot Radiology Pdf

Case 255 Foot Binding Radiology

Case 255 Foot Binding Radiology

The Cavus Foot Chapter 9 Core Topics In Foot And Ankle Surgery

The Cavus Foot Chapter 9 Core Topics In Foot And Ankle Surgery

Pes Cavus Not Just A Clinical Sign Diagnosis Aetiology And Management Acnr Paper Online Neurology Journal Acnr Paper Online Neurology Journal

Pes Cavus Not Just A Clinical Sign Diagnosis Aetiology And Management Acnr Paper Online Neurology Journal Acnr Paper Online Neurology Journal

Https Encrypted Tbn0 Gstatic Com Images Q Tbn 3aand9gcsaitp0e8lolwckbqanoyoidfp8aonotza08n2qzxtn6tu Q7p8 Usqp Cau

Https Encrypted Tbn0 Gstatic Com Images Q Tbn 3aand9gcsaitp0e8lolwckbqanoyoidfp8aonotza08n2qzxtn6tu Q7p8 Usqp Cau

Pes Planus Radiology Reference Article Radiopaedia Org

Pes Planus Radiology Reference Article Radiopaedia Org

Equinovalgus Foot Pediatrics Orthobullets

Equinovalgus Foot Pediatrics Orthobullets

Https Www Kent Edu Sites Default Files Hv Ch 04 Review Of Adult Foot Radiology Pdf

Https Www Kent Edu Sites Default Files Hv Ch 04 Review Of Adult Foot Radiology Pdf

Flat Feet Wikipedia

Flat Feet Wikipedia

Mcglamry S Ch 42 Pes Cavus Mcglamry S Flashcards Memorang

Mcglamry S Ch 42 Pes Cavus Mcglamry S Flashcards Memorang

Assessing And Treating The Subtle Cavus Foot Deformity Podiatry Today

Assessing And Treating The Subtle Cavus Foot Deformity Podiatry Today

Https Encrypted Tbn0 Gstatic Com Images Q Tbn 3aand9gcqhwzsr6lgctxsiqw Csxlrqputy5dlcevcdpx1qptcn3nqrmmg Usqp Cau

Https Encrypted Tbn0 Gstatic Com Images Q Tbn 3aand9gcqhwzsr6lgctxsiqw Csxlrqputy5dlcevcdpx1qptcn3nqrmmg Usqp Cau

Mcglamry S Ch 42 Pes Cavus Mcglamry S Flashcards Memorang

Mcglamry S Ch 42 Pes Cavus Mcglamry S Flashcards Memorang

Http Www Foot Theclinics Com Article S1083 7515 13 00082 X Pdf

Http Www Foot Theclinics Com Article S1083 7515 13 00082 X Pdf

Pes Cavus Not Just A Clinical Sign Diagnosis Aetiology And Management Acnr Paper Online Neurology Journal Acnr Paper Online Neurology Journal

Pes Cavus Not Just A Clinical Sign Diagnosis Aetiology And Management Acnr Paper Online Neurology Journal Acnr Paper Online Neurology Journal

Lateral X Ray Of Foot A Shows Pre Operative Deformity And Download Scientific Diagram

Lateral X Ray Of Foot A Shows Pre Operative Deformity And Download Scientific Diagram

Https Www Foot Theclinics Com Article S1083 7515 13 00084 3 Pdf

Https Www Foot Theclinics Com Article S1083 7515 13 00084 3 Pdf

Https Encrypted Tbn0 Gstatic Com Images Q Tbn 3aand9gctidj7cm9pykscz6p9gh5xf 4g5xp1spdzqdynyiw9te 2zgisz Usqp Cau

Https Encrypted Tbn0 Gstatic Com Images Q Tbn 3aand9gctidj7cm9pykscz6p9gh5xf 4g5xp1spdzqdynyiw9te 2zgisz Usqp Cau

Disorders Of The Foot In Children Springerlink

Disorders Of The Foot In Children Springerlink

Management Of Pediatric Foot Deformities An Imaging Review Springerlink

Management Of Pediatric Foot Deformities An Imaging Review Springerlink

Foot Ii Radiology Key

Foot Ii Radiology Key

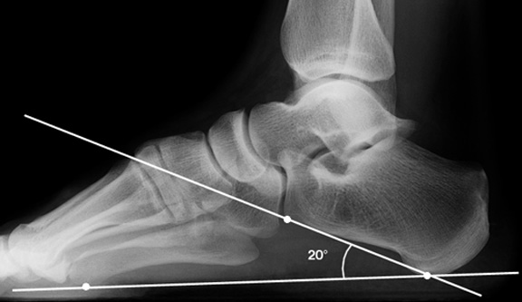
Radiographs Of Intact Meary S Angle And Cyma Line As Compared To Download Scientific Diagram

Radiographs Of Intact Meary S Angle And Cyma Line As Compared To Download Scientific Diagram

Pes Cavus Foot Alignment

Pes Cavus Foot Alignment

Cavovarus Foot In Pediatrics Adults Pediatrics Orthobullets

Cavovarus Foot In Pediatrics Adults Pediatrics Orthobullets

Flatfoot In Children And Adolescents Analysis Of Imaging Findings And Therapeutic Implications Sciencedirect

Flatfoot In Children And Adolescents Analysis Of Imaging Findings And Therapeutic Implications Sciencedirect

Pes Planus Foot Alignment

Pes Planus Foot Alignment

Figure 6 From The Adult Clubfoot Congenital Pes Cavus Semantic Scholar

Figure 6 From The Adult Clubfoot Congenital Pes Cavus Semantic Scholar

Figure 2 From The Adult Clubfoot Congenital Pes Cavus Semantic Scholar

Figure 2 From The Adult Clubfoot Congenital Pes Cavus Semantic Scholar

Pes Cavus Radiology Reference Article Radiopaedia Org

Pes Cavus Radiology Reference Article Radiopaedia Org

Podiatric Imaging

Podiatric Imaging

Http Www Foot Theclinics Com Article S1083 7515 13 00082 X Pdf

Http Www Foot Theclinics Com Article S1083 7515 13 00082 X Pdf

Acquired Mid Foot Deformity Fifa Medical Platform

Acquired Mid Foot Deformity Fifa Medical Platform

Http Www Scielo Org Za Pdf Saoj V7n3 12 Pdf

Http Www Scielo Org Za Pdf Saoj V7n3 12 Pdf

Mcglamry S Ch 42 Pes Cavus Mcglamry S Flashcards Memorang

Mcglamry S Ch 42 Pes Cavus Mcglamry S Flashcards Memorang

Cavus Foot From Neonates To Adolescents Sciencedirect

Cavus Foot From Neonates To Adolescents Sciencedirect

Https Www Ajronline Org Doi Pdf 10 2214 Ajr 07 7143

Https Www Ajronline Org Doi Pdf 10 2214 Ajr 07 7143

Patient Who Has Congenital Pseudarthrosis Of The Tibia With Cavus Foot Download Scientific Diagram

Patient Who Has Congenital Pseudarthrosis Of The Tibia With Cavus Foot Download Scientific Diagram

Podiatric Imaging

Podiatric Imaging

Pes Planus Radiology Reference Article Radiopaedia Org

Pes Planus Radiology Reference Article Radiopaedia Org

Pes Cavus Foot Alignment

Pes Cavus Foot Alignment

Pes Cavus

Pes Cavus

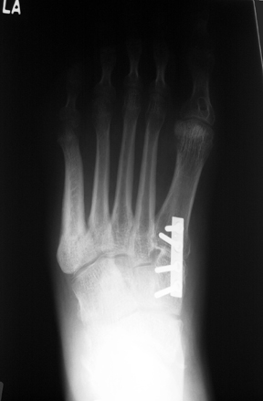
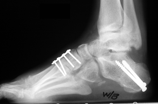
Cavus Foot Reconstruction Springerlink

Cavus Foot Reconstruction Springerlink

Https Www Kent Edu Sites Default Files Hv Ch 04 Review Of Adult Foot Radiology Pdf

Https Www Kent Edu Sites Default Files Hv Ch 04 Review Of Adult Foot Radiology Pdf

1 Radiographic Evaluation Of The Pediatric Foot And Its Deformities Amy C Wu Md Ucsd Department Of Radiology Ppt Download

1 Radiographic Evaluation Of The Pediatric Foot And Its Deformities Amy C Wu Md Ucsd Department Of Radiology Ppt Download

Pdf The Adult Cavus Foot Semantic Scholar

Pdf The Adult Cavus Foot Semantic Scholar

Flatfoot In Children And Adolescents Analysis Of Imaging Findings And Therapeutic Implications Sciencedirect

Flatfoot In Children And Adolescents Analysis Of Imaging Findings And Therapeutic Implications Sciencedirect

Clubfoot Imaging Practice Essentials Radiography Computed Tomography

Clubfoot Imaging Practice Essentials Radiography Computed Tomography

Part 4 Musculoskeletal Imaging Radiology Key

Part 4 Musculoskeletal Imaging Radiology Key

Https Pdfs Semanticscholar Org 0a81 4726b8c78184ec685cf2bf07b31d41d0fe1c Pdf

Https Pdfs Semanticscholar Org 0a81 4726b8c78184ec685cf2bf07b31d41d0fe1c Pdf

Pes Cavus

Pes Cavus

Splayfoot And Hallux Valgus Radiology Case Radiopaedia Org

Splayfoot And Hallux Valgus Radiology Case Radiopaedia Org

Pes Cavus Radiology Case Radiopaedia Org

Pes Cavus Radiology Case Radiopaedia Org

Chinese Foot Binding Radiographic Findings And Case Report Sciencedirect

Chinese Foot Binding Radiographic Findings And Case Report Sciencedirect

Management Of Pediatric Foot Deformities An Imaging Review Springerlink

Management Of Pediatric Foot Deformities An Imaging Review Springerlink

Https Www Kent Edu Sites Default Files Hv Ch 04 Review Of Adult Foot Radiology Pdf

Https Www Kent Edu Sites Default Files Hv Ch 04 Review Of Adult Foot Radiology Pdf

Pes Cavus Foot Alignment

Pes Cavus Foot Alignment

Pes Cavus Not Just A Clinical Sign Diagnosis Aetiology And Management Acnr Paper Online Neurology Journal Acnr Paper Online Neurology Journal

Pes Cavus Not Just A Clinical Sign Diagnosis Aetiology And Management Acnr Paper Online Neurology Journal Acnr Paper Online Neurology Journal

1 Radiographic Evaluation Of The Pediatric Foot And Its Deformities Amy C Wu Md Ucsd Department Of Radiology Ppt Download

1 Radiographic Evaluation Of The Pediatric Foot And Its Deformities Amy C Wu Md Ucsd Department Of Radiology Ppt Download

Pes Planus Foot Alignment

Pes Planus Foot Alignment

Congenital Vertical Talus Pediatrics Orthobullets

Congenital Vertical Talus Pediatrics Orthobullets

Pes Cavus Eagle Summit Foot Ankle

Pes Cavus Eagle Summit Foot Ankle

Pes Cavus Wikipedia

Pes Cavus Wikipedia

Flexible Flat Foot The Bone School

Flexible Flat Foot The Bone School

Functional Implications Of The Cavus Foot Barefoot Strong Blog

Functional Implications Of The Cavus Foot Barefoot Strong Blog

Pes Cavus Wikipedia

Pes Cavus Wikipedia

Pes Cavus Foot Alignment

Pes Cavus Foot Alignment

Http Www Foot Theclinics Com Article S1083 7515 13 00082 X Pdf

Http Www Foot Theclinics Com Article S1083 7515 13 00082 X Pdf

Pes Cavus Surgery Musculoskeletal Key

Pes Cavus Surgery Musculoskeletal Key

Tarsal Coalition Pediatrics Orthobullets

Tarsal Coalition Pediatrics Orthobullets

Pes Cavus Foot Alignment

Pes Cavus Foot Alignment

Pes Planus Radiology Reference Article Radiopaedia Org

Pes Planus Radiology Reference Article Radiopaedia Org

Case 255 Foot Binding Radiology

Case 255 Foot Binding Radiology

Ct And Mr Imaging Of The Postoperative Ankle And Foot Radiographics

Ct And Mr Imaging Of The Postoperative Ankle And Foot Radiographics

The Foot And Ankle Congenital And Developmental Conditions Radiology Key

The Foot And Ankle Congenital And Developmental Conditions Radiology Key

Http Www Foot Theclinics Com Article S1083 7515 13 00082 X Pdf

Http Www Foot Theclinics Com Article S1083 7515 13 00082 X Pdf

SHARE THIS PAGE!

  • Index|Contact|Copyright|DMCA|Privacy-Policy
  • © Copyright 2020 Free Black Ops Cold War Beta Code Xbox One - All Rights Reserved Mbah Google