
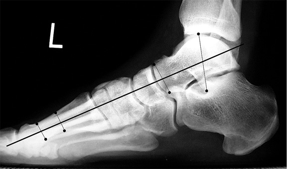
Pes planus angle measurement radiology. Meary angle assesses the degree of plantigrade tilt of the head of the talus which is believed to be one of the earliest findings in the acquired adult flatfoot. Eva m escobedo md professor of radiology musculoskeletal imaging section uc davis medical center 4860 y street suite 3100 sacramento ca 95817 emescobedoatucdavisedu. Mearys angle or talus first metatarsal angle has been used to identify the apex of deformity in patients with pes cavus and pes planus on lateral weight bearing foot radiographs. Gunstock deformity supracondylar fracture rid4650 foot.
An angle greater than 40 convex downward is considered a flat foot. Pes planus is a deformity of the foot where the longitudinal arch of the foot is abnormally flattened and can be congenital or acquired. Carrying angle of the elbow. Same lateral x ray showing the measurement of mearys angle which is the angle between the long axis of the talus and first metatarsal bone.
An attempt was made to obtain a normal standard deviations from which would indicate either pes planus or a pre pes planus status. 10 200 indicative of pes planus when 180. The calcaneal inclination angle also known as the calcaneal pitch is drawn on a weight bearing lateral foot radiograph between the calcaneal inclination axis and the supporting horizontal surface. Acquired pes planus ie foot collapse can be distinguished from congenital pes planus by carefully assessing the calcaneus and midtarsal joint.
This is an angle formed between the long axis of the talus and first metatarsal on a weight bearing lateral view fig a. Because we had few patients with complete ptt rupture or advanced stage flatfoot deformities in this study it is not surprising that meary angle had the highest association with ptt tear. Hometxt last modified. A calcaneal pitch of less than 170 or 180 indicates flat feet.
Congenital versus acquired pes planus. Pes planus pes alta. It is a measurement that reflects the height of the foot framework but is affected by abnormal pronation or supination of the foot. Before describing the actual method of measurement and presenting the results of our survey a brief review of the salient features of pes planus seems pertinent.
Hindfoot valgus where the talocalcaneal angle is 350 talonavicular uncoverage or subluxation. Probably the most familiar line to radiologists and a more direct measurement of pes planus or collapse of the longitudinal arch is the talar 1st metatarsal angle mearys angle 3. Among all the measurements in our study meary angle had the best association with ptt tear as diagnosed on mri. 20160814 0133 external edit page tools.
SHARE THIS PAGE!