
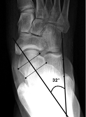
Pes valgus vs pes varus. It was found that 42 of children between 3 and 6 years which normal weight develop pes valgus. Sometimes pes valgus may be used in synonymous with talipes valgus. A valgus angulation is simply the reverse. Therefore when the apex of a joint points medially the deformity if any would be called valgus as the distal part points laterally.
It is a problem commonly encountered in paediatric orthopaedics and is generally considered as caused by the collapse of the medial longitudinal arch in the foot. It comes from the latin term meaning bent outward. In a valgus angulation the distal part of the bony section deviates in a lateral location. While this post focused specifically at the local foot and ankle joint its important to consider regional interdependence.
It is characterized by the inward turning of the heel or the inversion of the foot. Pedes l. It should not be confused with the other related term varus which pertains to the medial deviation of the distal bone. Whenever the distal part is more medial it is called varus.
Age gender obesity cerebral palsy syndrome of down are known risk factors for the. In contrast pes valgus is a deformity characterized by the outward turning of the heel or the inversion of the foot. The disorder occurs when the distal tibial shinbone growth plate closes prematurely causing asymmetrical growth of the tibia that results in a bowlegged appearance and lameness. Varus is a latin term meaning bent inward whereas valgus is a latin that denotes being bent outward.
An example of this deformity is the pes valgus which is a deformity of the foot. Whenever the distal part is more lateral it is called valgus. Pes varus is an example of a varus deformity. A varus angulation is known as the distal part of a bony section deviates in a medial location.
Pronators pes planus compensated calcaneal varus compensated forefoot varus. Pes abductus talipes valgus. Pes planus pes valgus flatfoot. Pes hippocampi a formation of two or three elevations on the ventricular surface of the hippocampus.
Pes varus is a latin term that combines pes foot and varus inward and describes a deformity in which the distal tibia is turned inward toward the body. Pes pl. Pes adductus talipes varus.
SHARE THIS PAGE!