
Pes planus angle measurement. Gunstock deformity supracondylar fracture rid4650 foot. The arch provides an elastic springy connection between the. Pes planus pes alta. Flat foot is alo known as pes planus on plano valgus.
Incidence of foot and ankle injuries in west point cadets with pes planus compared to the general cadet population. Mearys angle angle 150 300 is considered moderate flat foot and greater than 300 is considered severe flat foot. You just need a scale a marker and little bit of anatomical knowledge and you can do with it. Compression of superior aspect of bone fracture rid4650 of calcaneus or of posterior facet.
Carrying angle of the elbow. B abduction of the midfoot and pronation of the forefoot is also seen with inward collapse of the ankle joint resulting in rotation of the forefoot away from the center axis. An angle greater than 4 degrees convex upward is considered a pes cavus 10 11. Pes planus in contradistinction will show 7.
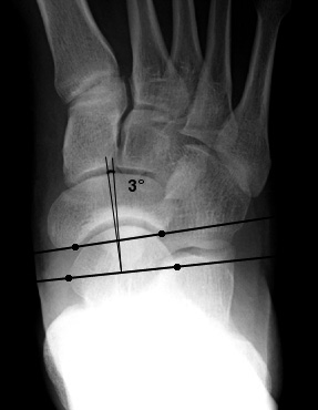
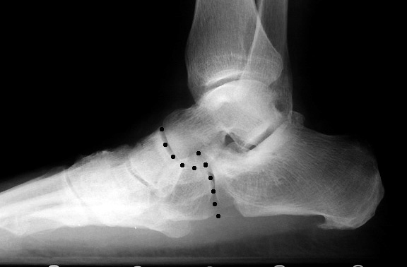
Loss of the normal straight line relationship with mearys angle 40 convex downwards. Different parameters have been described to assess talar head uncoverage including the anterior talus first metatarsal angle normal 00 to 200 talonavicular coverage angle normal70 talonavicular uncoverage percent normal 10 to 30 and lateral incongruency angle normal 50260. For example a s hoe insert used for the flat foot is designed based on the degree of flatness. Flat feet also called pes planus or fallen arches is a postural deformity in which the arches of the foot collapse with the entire sole of the foot coming into complete or near complete contact with the ground.
Syndesmosis rid6088 injury. A pediatric pes planus results in hindfoot valgus as defined by the angle formed by the leg and heel. 10 200 indicative of pes planus when 180. In normal feet the relationship between the talus and the 1 st metatarsal results in a straight line being formed along their axes ie.
It is a measurement that reflects the height of the foot framework but is affected by abnormal pronation or supination of the foot. Normal mearys angle 00.
SHARE THIS PAGE!